Cazuri rezolvate
Transformări realizate în cabinetul nostru. Exemple reale de pacienți care și-au recăpătat zâmbetul și încrederea prin tratamentele noastre dentare personalizate.








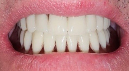
Reabilitare fizionomică și funcțională
Dr. Mită Alina a realizat o reabiltare orală bimaxilară utilizând protezele dentare totale, oferind pacientului o îmbunătățire semnificativa aspectului fizionomic, dar și a funcției masticatorii. Pacientul acuza în trecut imposibilitatea utilizării vechilor proteze. Inlocuirea vechilor proteze a readus zambetul pe buzele pacientului.
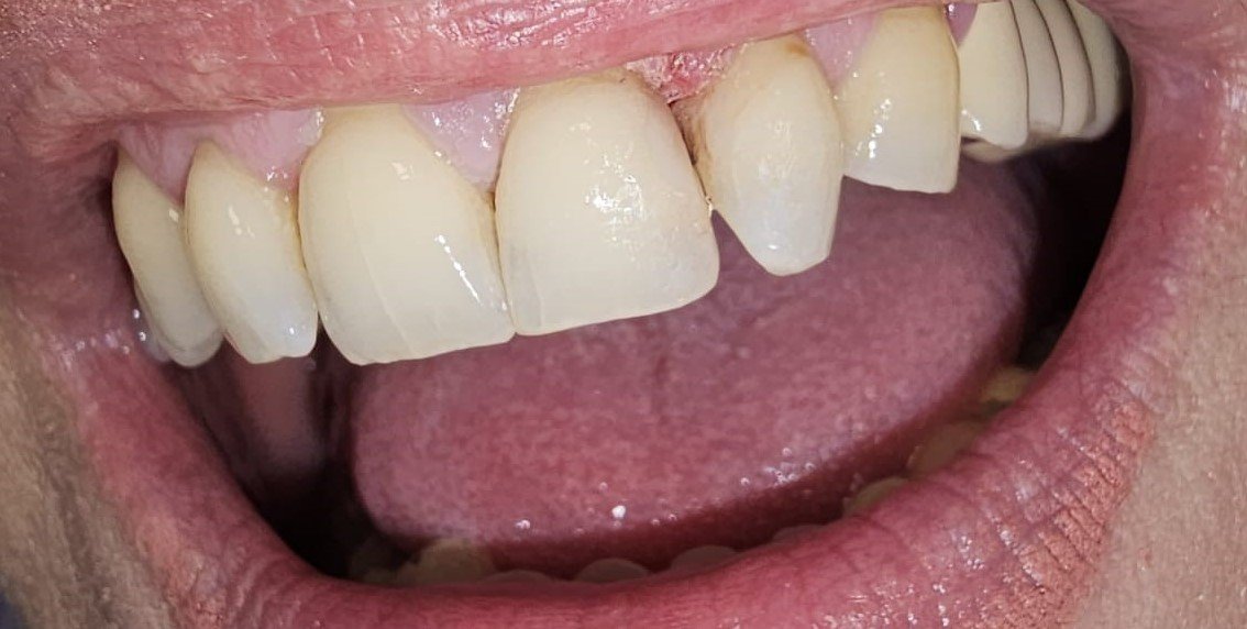
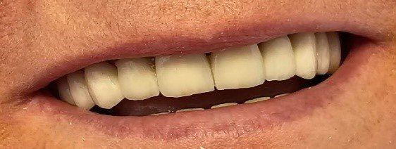
Reabilitare completă a arcadei maxilare
A fost realizată o reabilitare completă a arcadei maxilare cu ajutorul unei punți metalo-ceramice, restabilind atât funcția estetică, cât și pe cea masticatorie. Această intervenție a adus pacientului nu doar un zâmbet estetic îmbunătățit, ci și confortul și eficiența în masticație, contribuind semnificativ la calitatea vieții de zi cu zi.
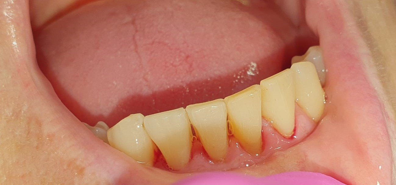
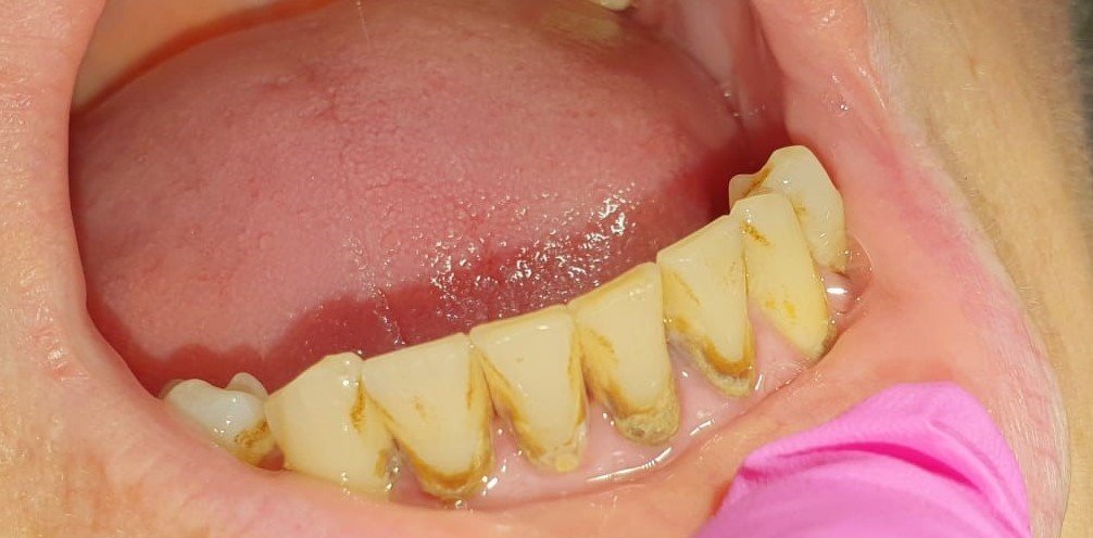
Igienizare profesională
Prin igienizarea profesională, a fost posibilă eliminarea halenei fetide care afecta pacienta, redându-i astfel încrederea în sine. Intervenția a fost esențială pentru îmbunătățirea sănătății orale și a calității vieții pacientei, care a plecat din cabinet cu un zâmbet reînnoit și fără disconfortul anterior.
Tratamentul cariei dentare simple
Tratamentul cariei dentare simple, realizat cu ajutorul unei obturații fizionomice din compozit, a asigurat nu doar refacerea structurii dintelui, ci și restabilirea aspectului estetic al zâmbetului pacientei. Această intervenție a redat pacientei un zâmbet natural și sănătos, contribuind semnificativ la creșterea încrederii în sine și la confortul zilnic.
Edentie totala maxilara
Pacientul se prezinta in cabinetul de medicina dentara cu edentatie totala maxilara, cu dorinta sa isi imbunatateasca functia fizionomica si pe cea masticatorie. Acestul lucru s-a obtinut cu ajutorul unei proteze totale acrililice , injectate.